Chirurgie de reprise implantaire avec lambeau
Chirurgie de reprise implantaire avec lambeau

Formation ICI Session n°2 – 2026
2e session de l’année !
Nous continuons l’année 2026 avec la deuxième session de la formation ICI – Techniques avancées en implantologie, les 17 et 18 avril au sein de la Clinique du Dr Gérard Scortecci à Nice.
Découvrez le programme de la formation ICI de avril 2026

Jour 1
Chirurgie en direct & implantologie basale
La première journée de la formation a débuté par un temps fort :
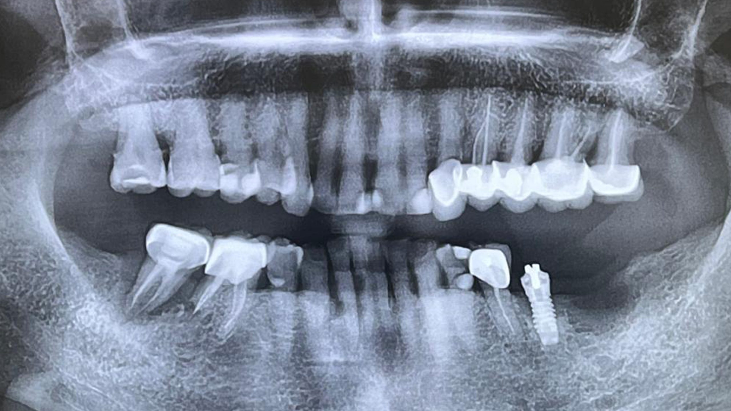
une chirurgie en direct commentée par le Dr Gérard Scortecci, réalisée dans le secteur 3 mandibulaire gauche, en 37.
Contexte :
La patiente présentait une perte significative du support osseux, datant de plus de 15 ans, et ayant conduit à une cavitation importante de la zone concernée.
L’utilisation de l’insertion matérale s’est révélée particulièrement pertinente pour cette opération.
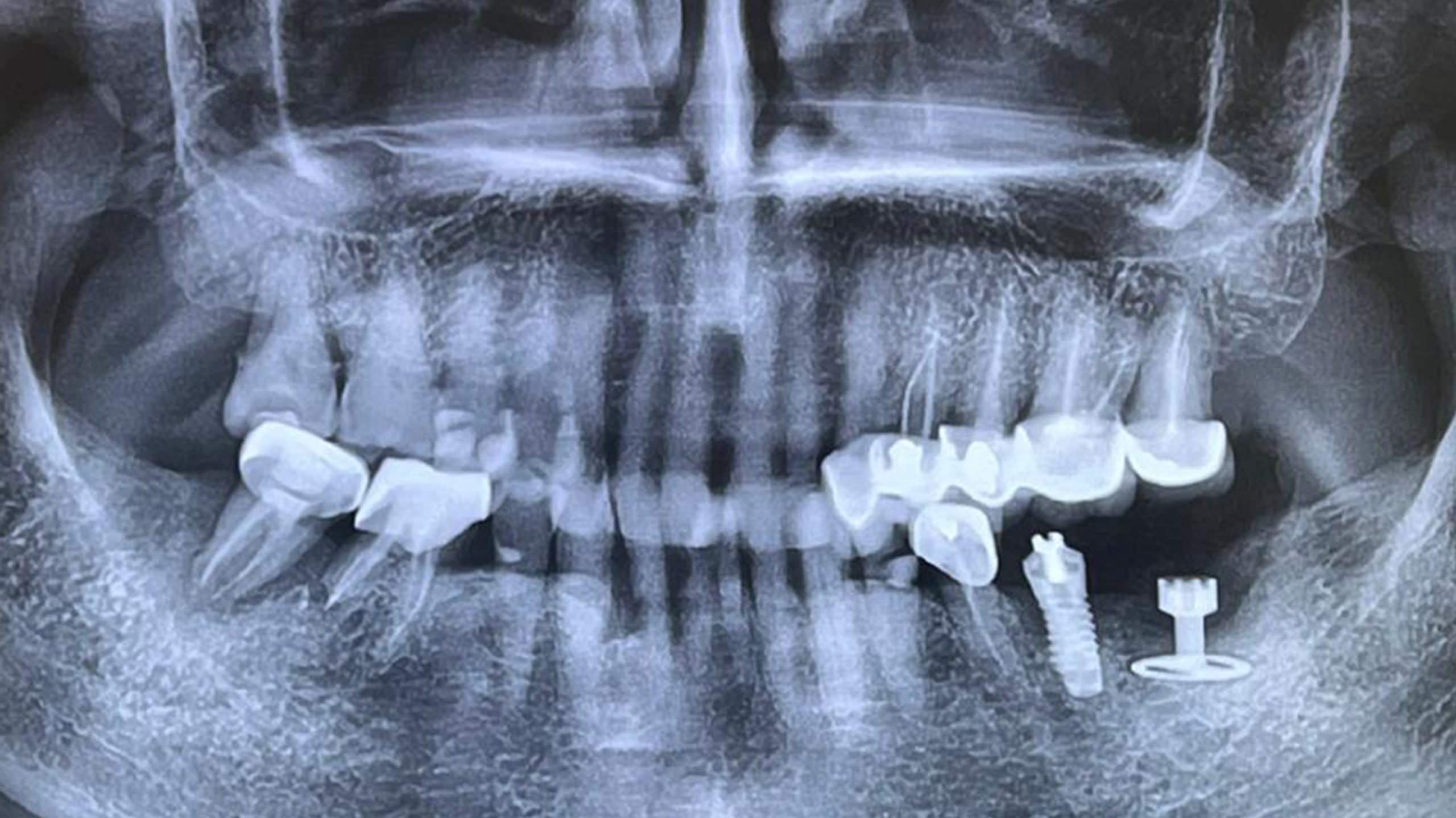
Déroulé de la chirurgie :
En amont, une activation ostéogénique avait été mise en œuvre, permettant d’initier un processus de régénération osseuse favorable.
Après une anesthésie loco-régionale, un lambeau de grande étendue a été réalisé afin d’obtenir une visibilité optimale pour placer l’implant.
Le diskimplant a été posé en enfouissement complet pour une durée minimale de six mois, étape indispensable à une ostéointégration fiable et durable.
La suite du protocole inclura la réouverture implantaire et la réalisation de l’empreinte prothétique en vue de la restauration définitive.
Cas clinique
La session de l’après-midi a porté sur le traitement d’une pathologie de l’articulation temporo-mandibulaire.
Ce cas clinique traitait sur l’utilisation d’ondes de choc, via des dispositifs ostéopulseurs permettant d’agir simultanément sur la douleur et les limitations fonctionnelles, notamment la réduction de l’ouverture buccale.
Le résultat : soulagement rapide et significatif chez le patient, avec une amélioration notable de la fonction articulaire.
Mots du Dr Scortecci : “Cette intervention démontre que les ondes de choc au niveau des patients qui présentent des arthroses de l’articulation est tout à fait pertinente.”
Jour 2
Suivi post-opératoire, analyses
La matinée a été consacrée à l’évaluation post-opératoire, avec une analyse approfondie des suites cliniques et des éventuelles complications biologiques et mécaniques.
Découvrir les formations I.C.I
Apprendre, comprendre, maîtriser l’implantologie







