Formation Implantologie ICI 2025
Formation ICI 2025
Implantologie avancée

Cas clinique : planification numérique & bridge anticpé avec l’IA

Nouvelle étape pour I.C.I
Une nouveauté pour la formation ICI – Techniques avancées en implantologie, les 10 et 11 octobre 2025 au sein de la Clinique du Dr Gérard Scortecci à Nice.
Découvrez le programme de la formation ICI de 2026

Chirurgie et IA
Quand l’intelligence artificielle et la chirurgie implantaire se rencontrent
Cette session de la formation ICI d’octobre 2025 a été marqué par un temps fort :
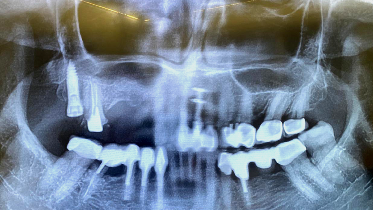
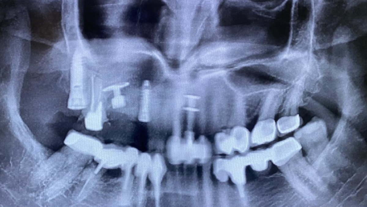
une chirurgie en direct commentée par le Dr Gérard Scortecci, réalisée dans le secteur postérieur maxillaire droit
Contexte :
Pour cette patiente ukrainienne, une activation ostéogénique avait été effectuée 45 jours avant la chirurgie, optimisant ainsi le potentiel biologique local pour la pose des implants.
De plus, la réhabilitation a été minutieusement préparée en amont grâce à une planification numérique complète et à l’assistance de l’intelligence artificielle.
Un bridge provisoire, conçu et imprimé numériquement avant l’intervention, a été planifié pour être ancré sur la 17 et prendre appui sur les faces palatines des 12 et 13.
Cette démonstration a permis de comprendre :
- la synergie entre la planification numérique, l’intelligence artificielle et les protocoles d’implantologie avancée
- la pertinence d’une approche intégrée : réhabilitation immédiate, précise et biologiquement maîtrisée
- les principes d’ostéointégration
- les designs d’implants fracatls
- les stratégie d’activation ostéogénique

Implants Victory® posés lors de cette chirurgie
Découvrir les autres implants VICTORY
Focus sur la technique utilisée
La planification numérique consiste à préparer toute l’intervention à l’aide d’outils digitaux afin de visualiser l’anatomie du patient, et de choisir l’emplacement exact. Cette approche a permis d’anticiper les contraintes anatomiques et d’optimiser le futur projet prothétique avant même l’intervention.
Le bridge anticipé est une prothèse provisoire conçue à l’avance, avant la chirurgie, grâce à la planification numérique et à l’aide de l’intelligence artificielle.
L’IA analyse les données du patient pour optimiser la forme, l’ajustement et les points d’appui du bridge.
Mots du docteur Scortecci : «Ce bridge a pu être installé immédiatement à la fin de la chirurgie, offrant un résultat esthétique et fonctionnel instantané.“

AVANT

APRÈS

Conclusion :
Cette séance de formation I.C.I. illustre l’évolution continue des techniques avancées en implantologie, où l’innovation technologique et la rigueur clinique se rejoignent pour offrir aux patients des solutions de réhabilitation immédiate, fiables et prédictibles.
Découvrir les formations I.C.I
Apprendre, comprendre, maîtriser l’implantologie






